4月14日(火)現在 店舗情報9293件 / 口コミ40010件を掲載中

水戸エンゼル歯科クリニック

ミトエンゼルシカクリニック

ホワイトニングで笑顔に自信を☆
気になる歯の汚れを落として美しく白い歯に♪

0.0 ☆☆☆☆☆ 総数0 (0件)

ホワイトニングは歯に薬をぬって反応をおこし、歯の本来の白さを再生。輝く白い歯で、素敵な笑顔になりませんか?コーヒーや紅茶、タバコによる着色を除去、本来の美しく白い歯に!ブラッシングでは落としきれない汚れも専用機器でのメンテナンスで、歯周病や虫歯、口臭の予防にもつながります。

当院は2種類のメニューをご用意。一度で白くしたい方は、クリニックで行うベーシックな≪オフィスホワイトニング≫がオススメ。忙しくて通院できない方は、マウスピースを使って自宅で手軽に出来る≪ホームホワイトニング≫をどうぞ。お気軽にご相談下さい!

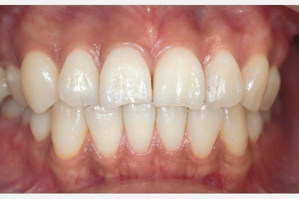
上の写真と見比べると、その色の違いは歴然!ぜひ一度お試しください♪

おすすめポイント・メニュー

≪リニューアル価格お試しキャンペーン☆≫
①オフィスホワイトニング
(上下)1回16500円 2回22000円(上または下)1回11000円 2回16500円
②ホームホワイトニング(上下)22000円

最新お知らせ

基本情報

住所 〒310-0911 茨城県水戸市見和2-253-9
アクセス JR常磐線「赤塚駅」より茨城オートバス「歯科医師会館前」下車、徒歩2分。
電話番号 029-291-8885
営業時間

9:30~13:30/15:00~19:30(受付19:00)
※審美歯科は完全予約制

定休日 日曜日・祝日(審美歯科は完全予約制)
駐車場 有り
ホームページ ホームページはこちらから

アクセス

ひとこと
メッセージ

訪問歯科診療も行います。
※エステ、治療を受けられた方はリピーター割引20%OFF

※消費税総額表示の義務化に伴い、当サイトの価格表記を順次税込表示へ変更中です。期間中は税抜・税込表記が混在する可能性があるため、事前に店舗へご確認ください。

※掲載内容は更新時点の情報であり、現在変更されている場合があります。

最新クチコミ